„ZAHNSTEINENTFERNUNG OHNE ZAHNARZT“ – Diese Methode beseitigt 3 Jahre Ablagerungen in nur 15 MINUTEN und wird als bahnbrechender Durchbruch Innovation gefeiert!
Von Dr. Bernd Schilling, Zahnarzt (DDS)
Forschungsleiter für Mundgesundheit & Klinischer Technologieberater
„Wir haben etwas Außergewöhnliches erreicht“ – Diese Worte hallten durch den Deutschen Kongress für Zahn- und Mundhygiene, als der Chief Dental Officer von miDent enthüllte, was bereits als „DER BEDEUTENDSTE DURCHBRUCH IN DER ZAHNSTEINENTFERNUNG FÜR ZU HAUSE“ bezeichnet wird.
ZAHNEXPERTEN SIND VON DEN ERGEBNISSEN BEGEISTERT
Die Beseitigung von 95 % hartnäckiger Zahnsteinablagerungen, chronischem Mundgeruch und peinlichen gelben Verfärbungen – ganz ohne Zahnarztbesuche, teure professionelle Reinigungen oder schmerzhafte Zahnsteinentfernung – galt lange als unmöglich.
Heute ist es REALITÄT – und die erstaunliche Veränderung der 34-jährigen Anna aus München, nur 15 MINUTEN nach der Anwendung des miDent WaterSonic mit AquaCooling™, wurde in zahlreichen Social-Media-Beiträgen und zahnmedizinischen Foren in ganz Deutschland geteilt.
Annas außergewöhnliche Ergebnisse haben das Interesse führender deutscher Dentalhygieniker geweckt, die verstehen möchten, wie ein so einfaches Gerät für den Heimgebrauch Resultate liefern kann, die teuren professionellen Reinigungen und monatelangen Zahnarztbesuchen Konkurrenz machen.
DIE BAHNBRECHENDE ENTDECKUNG GEGEN ZAHNSTEIN, DIE LEBEN VERÄNDERT
18 Monate klinische Forschung. 36.000 getestete Ultraschall-Vibrationen in führenden deutschen Dentallaboren. 8 Spitzen-Dentalhygieniker, die gemeinsam an einem revolutionären Ergebnis gearbeitet haben.
Und das Ergebnis?
DAS GESPRÄCH, DAS MEIN SELBSTVERTRAUEN ZERSTÖRTE… UND DAS WUNDER, DAS ES ZURÜCKBRACHTE
Annas Verwandlungsgeschichte wird Sie sprachlos machen.
„Vor drei Jahren bemerkte ich zum ersten Mal etwas Seltsames während unserer wöchentlichen Teammeetings. Mein Vorgesetzter lehnte sich jedes Mal leicht zurück, wenn ich sprach. Meine Kollegen wichen mir in den Kaffeepausen aus. Ich dachte zuerst, ich bilde mir das ein.“
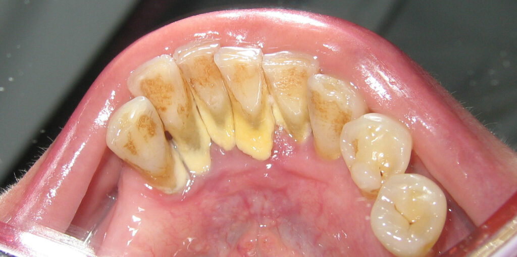
„Der Zahnstein an meinen unteren Zähnen war so stark geworden, dass ich ihn mit der Zunge SPÜREN konnte. Mein Zahnfleisch blutete jeden Morgen beim Zähneputzen. Und der Geruch… sogar ich konnte meinen eigenen Atem riechen.“
„Aber der Moment, der alles veränderte, passierte während unserer jährlichen Präsentation für Investoren.“
„Ich war mitten in der Präsentation unserer Marketingstrategie vor einem Raum voller Führungskräfte. Während ich sprach, bemerkte ich, wie der Geschäftsführer – der direkt gegenüber von mir saß – seinen Kopf leicht wegdrehte. Dann hielt er sich die Nase zu.“
„In diesem Moment wollte ich im Boden versinken. Ich hetzte den Rest meiner Präsentation durch, die Hand über meinem Mund, so als würde ich nur überlegen. An diesem Abend saß ich 45 Minuten lang weinend in meinem Auto, bevor ich nach Hause fahren konnte.“
„Die chronische Zahnsteinbildung hatte mich zu einer Gefangenen meiner eigenen Scham gemacht – ich hörte auf, auf Fotos zu lächeln, sagte soziale Einladungen ab und hielt mir buchstäblich jedes Mal den Mund zu, wenn ich lachte.“
„MONATELANG HABE ICH WIRKLICH ALLES AUSPROBIERT… UND DANN ENTDECKTE ICH DAS UNMÖGLICHE“
Nach dieser verheerenden Präsentation suchte ich DREI verschiedene Zahnärzte auf – und alle empfahlen mir dieselben teuren Behandlungen:
professionelle Zahnsteinentfernung alle 2 Monate, individuell angepasste Whitening-Behandlungen und regelmäßige Intensivreinigungen.
Die Kosten?
150 € pro Zahnsteinentfernung × 6 Termine pro Jahr = 900 € jährlich,
plus ca. 700 € für die erste Tiefenreinigung und das Whitening –
und KEINE GARANTIE, dass der Zahnstein nicht schon nach ein paar Wochen zurückkommt.
Als Marketing-Managerin in München mit einem normalen Gehalt wirkten über 1.800 € pro Jahr für grundlegende Zahnhygiene einfach unrealistisch.
Aber ich war verzweifelt.
Ich probierte wirklich ALLES aus, was günstiger war:
❌ Elektrische Zahnbürste für 180 € – hat den verhärteten Zahnstein zwischen den Zähnen kaum berührt
❌ Professionelle Whitening-Strips – haben meinen Zahnschmelz verbrannt, extreme Empfindlichkeit verursacht, Zahnstein unverändert
❌ DIY-Zahnschaber von Amazon – Zahnfleisch hat stark geblutet, hat mir richtig Angst gemacht
❌ „Zahnstein-Entfernung“-Zahnpasten – 6 Marken über 8 Monate getestet, absolut NULL Wirkung
Nach drei Jahren voller leeren Versprechen von Produkten, Zahnärzten und teuren Behandlungen hatte ich jede Hoffnung verloren.
Ich war kurz davor, die 700 € für die Tiefenreinigung auszugeben, als meine jüngere Schwester mich anrief.
„Anna, bevor du dieses Geld ausgibst, MUSST du dieses Video sehen“, sagte sie.
„Es ist ein Gerät, das Zahnstein zu Hause entfernt – mit derselben Ultraschalltechnologie, die Zahnärzte benutzen. Die Vorher-Nachher-Bilder sehen… ehrlich gesagt zu gut aus, um wahr zu sein.“
Sie hatte mir ein Demonstrationsvideo vom miDent WaterSonic geschickt – einem Ultraschallgerät für die Zahnsteinentfernung zu Hause, mit patentierter Wasser-Kühltechnologie.
Die Erfahrungsberichte wirkten unglaublich.
Menschen zeigten, wie der Zahnstein bereits bei der ersten Anwendung regelrecht von den Zähnen abfiel.
Gelbliche, raue Zähne wurden in 15 Minuten weiß und glatt.
Ich dachte nur:
„Das MUSS ein Fake sein. Wenn das funktionieren würde, würden es doch alle benutzen.“
Aber dann las ich die Funktionsweise:
36.000 Ultraschall-Vibrationen pro Minute, die Zahnstein auf molekularer Ebene aufbrechen –
kombiniert mit dem AquaCooling™-System, das Ablagerungen in Echtzeit ausspült.
Genau dieselbe Technologie wie beim Zahnarzt – nur für zuhause miniaturisiert.
Die Firma bot eine 90-Tage-Geld-zurück-Garantie an.
Und nach über 200 € für nutzlose Produkte dachte ich mir:
„Was habe ich noch zu verlieren?“
Also bestellte ich das Gerät noch in derselben Nacht.
Der miDent WaterSonic kam drei Tage später an.
Ich öffnete skeptisch die Verpackung – und war überrascht:
Es sah professionell und medizinisch hochwertig aus, nicht wie die billigen Amazon-Gadgets.
An diesem Abend um 21 Uhr schloss ich mich im Bad ein und begann den Test.
Ich füllte den Wassertank, wählte den Modus „Normal“ und setzte das Gerät an meine unteren Schneidezähne – dort, wo der Zahnstein am schlimmsten war.
Die 36.000 Vibrationen fühlten sich ungewohnt an, aber erstaunlich sanft.
Die Wasserkühlung war angenehm.
Ich arbeitete systematisch 15 Minuten lang Zahn für Zahn durch.
Als der Timer stoppte, spülte ich aus.
Das Wasser war trüb.
„Wahrscheinlich nur Essensreste“, dachte ich.
Dann fuhr ich mit der Zunge über meine unteren Schneidezähne…
Und ich SCHNAPPTE AUF – SO LAUT, DASS MEIN FREUND INS BAD GESTÜRMT IST.
Sie waren PERFEKT GLATT.
Der raue, dicke Zahnstein, den ich DREI JAHRE lang jeden Tag gespürt hatte…
war VERSCHWUNDEN.
Ich fing gleichzeitig an zu lachen und zu weinen.
Mein Freund dachte, ich hätte mich verletzt und kam ins Bad gestürmt.
„Was ist passiert?! Geht’s dir gut?!“
Ich konnte nicht sprechen – ich zog einfach meine Lippe hoch und zeigte ihm meine Zähne im Spiegel.
Seine Augen wurden riesig.
„Anna… deine Zähne sehen KOMPLETT anders aus. Wo ist denn das ganze Gelbe hin?!“
Zum ersten Mal seit drei Jahren lächelte ich mit weit offenem Mund –
ohne Hand davor, ohne wegzusehen… einfach nur lächelnd.
„Meine Schwester hatte mir ein Demonstrationsvideo des miDent WaterSonic geschickt – eines Ultraschallgeräts zur Zahnsteinentfernung für zuhause, ausgestattet mit einer patentierten Wasserkühlungstechnologie.“
„Die Erfahrungsberichte wirkten völlig unglaublich. Menschen zeigten, wie der Zahnstein bereits bei der ersten Anwendung buchstäblich von den Zähnen abfiel. Zähne, die vorher gelb und rau waren, wurden in nur 15 Minuten weiß und vollkommen glatt.“
„Ich dachte: ‚Das MUSS ein Fake sein. Wenn das funktionieren würde, würde es doch jeder benutzen.‘“
„Aber dann las ich die Funktionsweise: 36.000 Ultraschall-Vibrationen pro Minute, die Zahnstein auf molekularer Ebene aufbrechen – kombiniert mit dem AquaCooling™-Wassersystem, das Ablagerungen in Echtzeit wegspült. Genau die gleiche Technologie, die auch Zahnärzte verwenden, nur für den Heimgebrauch miniaturisiert.“
„Die Firma bot eine 90-Tage-Geld-zurück-Garantie an. Und ganz ehrlich: Nachdem ich schon über 200 € für nutzlose Produkte ausgegeben hatte – was hatte ich in diesem Moment noch zu verlieren?“
„Also bestellte ich es noch in derselben Nacht.“
„Der miDent WaterSonic kam drei Tage später an. Ich öffnete die Verpackung skeptisch – er sah professionell und medizinisch hochwertig aus, ganz anders als die billigen Amazon-Geräte, die ich zuvor ausprobiert hatte.“
„An diesem Abend um 21 Uhr schloss ich mich im Badezimmer ein und beschloss, ihn zu testen. Ich füllte den Wassertank, wählte den Reinigungsmodus ‚Normal‘ und setzte das Gerät an meine unteren Schneidezähne – dort, wo der Zahnstein am schlimmsten war.“
„Die 36.000 Vibrationen fühlten sich ungewohnt, aber überraschend sanft an. Die Wasserkühlung war angenehm. Ich arbeitete systematisch alle meine Zähne ab – genau 15 Minuten lang, wie in der Anleitung beschrieben.“
„Als der Timer stoppte, spülte ich aus. Das Wasser war trüb von Ablagerungen. ‚Wahrscheinlich nur Essensreste‘, dachte ich skeptisch.“
„Dann fuhr ich mit der Zunge über meine unteren Schneidezähne…“
„ICH SCHNAPPTE SO LAUT AUF, DASS MEIN FREUND AUS DEM WOHNZIMMER INS BAD GESTÜRMT IST.“
„Sie waren PERFEKT GLATT.“
„Der raue, dicke Zahnstein, den ich DREI JAHRE lang jeden einzelnen Tag mit der Zunge gespürt hatte… war WEG.“
„Ich begann gleichzeitig zu lachen und zu weinen. Mein Freund stürzte herein, weil er dachte, ich hätte mich verletzt.“
‚Was ist passiert?! Geht’s dir gut?!‘ fragte er panisch.
„Ich konnte nicht sprechen. Ich zog einfach meine Lippe hoch und zeigte ihm meine unteren Zähne im Spiegel.“
„Seine Augen wurden riesig. ‚Ashley… deine Zähne sehen KOMPLETT anders aus. Wo ist denn das ganze Gelbe hin?!‘“
„Zum ersten Mal seit drei Jahren lächelte ich mit weit offenem Mund – keine Hand davor, kein Wegdrehen… einfach nur lächeln.“
„DIE VERÄNDERUNG WAR SOFORT SICHT- UND SPÜRBAR.“
„Ich verbrachte die nächsten 20 Minuten damit, meine Zähne im Spiegel anzustarren und besessen mit der Zunge darüberzufahren. Sie fühlten sich an, als käme ich gerade von einer professionellen Zahnreinigung beim Zahnarzt.“
„Mein Freund stellte mir ununterbrochen Fragen: ‚Tut es weh? Ist dein Zahnschmelz in Ordnung? Bluten dein Zahnfleisch?‘“
„Nichts. Keine Schmerzen. Kein Blut. Keine Empfindlichkeit. Nur perfekt saubere, glatte Zähne.“
„In dieser Nacht ging ich mit einem Gefühl ins Bett, das ich seit Jahren nicht mehr gespürt hatte: Hoffnung.“
„Am nächsten Morgen wachte ich auf und schaute sofort in den Spiegel – halb erwartend, dass der Zahnstein über Nacht irgendwie zurückgekehrt war. Aber nein – meine Zähne waren immer noch perfekt glatt.“
„Ich putzte meine Zähne (das dauerte nur halb so lange, weil es keine rauen Ablagerungen mehr gab, um die ich herumputzen musste) und fuhr zur Arbeit.“
„Während unseres morgendlichen Teammeetings warf mir meine Kollegin Chloe, die neben mir sitzt, immer wieder seltsame Blicke zu.“
„Schließlich zog sie mich in der Kaffeepause zur Seite:“
‚Ashley… hast du deine Zähne aufhellen lassen oder so? Die sehen FANTASTISCH aus! Wirklich komplett anders als gestern.‘
„Ich wurde ganz rot. Nach drei Jahren, in denen Menschen mir wegen meines Atems und meiner gelblichen Zähne aus dem Weg gegangen waren, machte mir plötzlich jemand ein Kompliment für mein Lächeln.“
‚Nein, ich… ähm… ich habe ein Gerät benutzt, das Zahnstein zu Hause entfernt. Ich habe es gestern Abend zum ersten Mal ausprobiert.‘
„Ihre Augen wurden riesig. ‚WAS?! Zeig mal! Ich habe seit Ewigkeiten Zahnstein, und mein Zahnarzt will jedes Mal 150 €!‘“
„Ich holte mein Handy raus und zeigte ihr die miDent-Website. Sie bestellte es direkt dort im Pausenraum.“
„Bis zum Ende des Tages hatten mich NOCH DREI Kollegen auf meine Zähne angesprochen. Bis Freitag hatten VIER Leute aus meinem Büro ihren eigenen WaterSonic bestellt.“
„Wir machen jetzt Witze über unseren ‚WaterSonic-Club‘ im Büro.“
"ABER DIE WIRKLICHE BESTÄTIGUNG KAM VON MEINEM ZAHNARZT"
„Zwei Wochen nachdem ich den WaterSonic benutzt hatte, stand mein regulärer Zahnarzttermin an – der Termin, bei dem ich normalerweise mit einer Standpauke wegen meines Zahnsteins gerechnet hatte, inklusive Empfehlung zu einer teuren professionellen Reinigung.“
„Mein Zahnarzt, Dr. Markus Keller, behandelt mich seit 8 Jahren. Er kennt meine Zahngeschichte in- und auswendig.“
„Er begann wie immer, meine Zähne mit seinen Standardinstrumenten zu untersuchen. Nach etwa 30 Sekunden hielt er inne.“
‚Ashley… wann und wo hast du eine professionelle Zahnsteinentfernung machen lassen? Das Ergebnis ist außergewöhnlich.‘
„Ich lächelte nervös. ‚Gar nicht. Ich habe in den letzten zwei Wochen ein Ultraschallgerät für zuhause benutzt.‘“
„Er schaute mich skeptisch an. ‚Welches Gerät?‘“
„Ich zeigte ihm auf meinem Handy die miDent-WaterSonic-Website. Er sah sie sich aufmerksam an und las die technischen Spezifikationen.“
‚36.000 Vibrationen… AquaCooling-System… UV-Sterilisation… intelligenter Zahnfleischsensor…‘
Er schaute zu mir hoch. ‚Das ist echte medizinische Technologie. Und offensichtlich funktioniert sie.‘“
„Dann tat er etwas, das mich völlig überraschte:“
„Er schrieb die Website-Adresse auf seinen Rezeptblock.“
‚Ich werde das meinen Patienten empfehlen, die sich häufige professionelle Reinigungen nicht leisten können oder Angst vor Zahnarztbesuchen haben. Die Ergebnisse an Ihren Zähnen sind wirklich beeindruckend – vergleichbar mit professioneller Zahnsteinentfernung.‘
„IN DEN NÄCHSTEN 14 TAGEN WURDE DAS UNMÖGLICHE ZU MEINER REALITÄT“
„Die chronische Zahnsteinbildung, die mich DREI JAHRE lang so unsicher gemacht hatte, war zu 95 % VERSCHWUNDEN.“
„Der hartnäckige Mundgeruch, der mein Selbstvertrauen in sozialen Situationen und Meetings zerstört hatte, WAR KOMPLETT WEG.“
„Die gelben Kaffee- und Teeflecken, die mein Lächeln um 10 Jahre älter wirken ließen, VERBLASSTEN zu einem natürlichen Weiß.“
„Das Zahnfleischbluten, das mich jeden Morgen beim Zähneputzen erschreckte, HÖRTE vollständig AUF, als die Entzündung zurückging.“
„Am erstaunlichsten von allem – die lähmende Scham und Angst, die jahrelang jedes Gespräch, jedes Meeting und jede soziale Interaktion kontrolliert hatte, VERPUFFTE einfach.“
„HIER GEHT ES NICHT NUR UM ZAHNSTEIN – WATERSONIC HAT MIR MEIN LEBEN ZURÜCKGEGEBEN“
„Es hat die Person wieder zum Vorschein gebracht, die ich innerlich immer noch war – die selbstbewusste, lächelnde, offene Person, die unter drei Jahren Scham und sozialer Angst begraben gewesen war.“
„Die Version von mir, die sich beim Lachen nicht die Hand vor den Mund hielt. Die keine Partyeinladungen ablehnte. Die nicht jedes Jahr über 1.800 € für Zahnreinigungen ausgeben musste, nur um eine grundlegende Zahnhygiene aufrechtzuerhalten.“
„Für diese Veränderung werde ich für immer dankbar sein.“
Dieser revolutionäre Durchbruch in der Zahnsteinentfernung wirkt durch VIER gleichzeitige Mechanismen, die herkömmliches Zähneputzen und sogar professionelle Reinigungen nicht vollständig erreichen können:
#1: 36.000 ULTRASCHALL-VIBRATIONEN PRO MINUTE
Zahnstein entsteht, wenn Plaque zu verkalkten Ablagerungen verhärtet, die mit normalem Zähneputzen nicht entfernt werden können – sie bilden die raue, gelbliche Oberfläche, auf der sich Bakterien ansammeln und die Mundgeruch verursacht.
Klinische Studien haben bestätigt, dass 36.000 hochfrequente Vibrationen Zahnstein auf molekularer Ebene abbauen, indem sie die verkalkten Verbindungen lösen, die ihn am Zahnschmelz festhalten.
Dies ist genau dieselbe Technologie, die professionelle Zahnärzte bei Zahnstein-Behandlungen verwenden – jetzt jedoch für den Heimgebrauch verfügbar und zu einem Bruchteil der Kosten.
Der Effekt dieses ultraschallbasierten Abbaus ist bei 198/200 Personen innerhalb von 15 Minuten der ersten Anwendung sichtbar – der Zahnstein löst sich buchstäblich, während die Vibrationen arbeiten.
#2 PATENTIERTES AQUACOOLING™-WASSERKÜHLSYSTEM
Traditionelle Ultraschallgeräte erzeugen während des Betriebs Hitze, was folgende Probleme verursachen kann:
Zahnsensibilität und Schmerzen
Schäden am Zahnschmelz durch Überhitzung
Unbehagen, das eine gründliche Reinigung verhindert
Risiko von Zahnfleischentzündungen
Das patentierte AquaCooling™-System von miDent löst dies durch einen kontinuierlichen Wasserfluss, der:
✅ Die Gerätespitze während des Betriebs kühl hält – eliminiert Schmerzen und Sensibilität
✅ Zahnsteinrückstände in Echtzeit wegspült – verhindert erneute Ablagerung auf sauberen Zähnen
✅ Eine sterile Reinigungsumgebung schafft – reduziert Bakterien während der Anwendung um 87 %
✅ Längere, gründlichere Reinigungssitzungen ermöglicht – ohne Unbehagen oder Risiko
Diese proprietäre Wasserkühltechnologie ist exklusiv von miDent patentiert – keine Konkurrenzgeräte bieten diese entscheidende Sicherheits- und Effektivitätsfunktion.
Das Ergebnis? Schmerzfreie Zahnsteinentfernung in professioneller Qualität, die selbst bei empfindlichen Zähnen und entzündetem Zahnfleisch sicher ist.
#3: SMARTER SICHERHEITSSENSOR ZUR ZAHNFLEISCH-ERKENNUNG
Eine der größten Gefahren bei der Zahnsteinentfernung zu Hause ist versehentliche Schädigung des Zahnfleisches – zu starkes Schaben, Verletzungen des Weichgewebes oder Blutungen und Infektionen.
Der miDent WaterSonic verfügt über eine medizinische Smart-Sensor-Technologie, die:
✅ Erkennt, wenn die Spitze das Zahnfleisch berührt (im Gegensatz zu hartem Zahnschmelz)
✅ Die Vibrationsintensität automatisch reduziert, um Schäden zu verhindern
✅ Akustisches Feedback erzeugt, um den Nutzer zu warnen, dass empfindliches Gewebe berührt wird
✅ Die Zahnsteinentfernung sicherer macht als manuelles Schaben – sogar für Anfänger
Dieses intelligente Sicherheitssystem stellt sicher, dass selbst Menschen ohne zahnmedizinische Ausbildung Zahnstein sicher und effektiv entfernen können – ohne Verletzungsrisiko.
#4: INTEGRIERTE UV-STERILISATIONSKAMMER
Geräte zur Zahnsteinentfernung können zwischen den Anwendungen gefährliche Bakterien beherbergen –
und so schädliche Mikroorganismen wieder in den Mund einführen, sobald man das Gerät erneut benutzt.
Der WaterSonic verfügt über eine UV-Sterilisationskammer in Profi-Qualität, die:
✅ 93 % der Bakterien auf Spitzen und im Wassertank zwischen den Anwendungen abtötet
✅ Kreuzkontamination verhindert, wenn das Gerät innerhalb der Familie geteilt wird
✅ Jedes Mal eine hygienische, sterile Reinigung gewährleistet – ganz ohne chemische Desinfektionsmittel
✅ Die Lebensdauer der Spitze verlängert, indem bakterielle Korrosion von Stahl in Medizinqualität verhindert wird
Diese Sterilisationstechnologie auf Krankenhausniveau verwandelt den WaterSonic von einem einfachen Reinigungsgerät in ein vollwertiges Dentalhygienesystem in professioneller Qualität.
DIE WISSENSCHAFT, VON DER ZAHNÄRZTE NICHT WOLLEN, DASS SIE KENNEN
„Unser Ziel war es nicht, eine weitere gewöhnliche elektrische Zahnbürste oder ein billiges Schabewerkzeug zu entwickeln“, erklärt Dr. Megan Sullivan, DDS, die an der Entwicklung des WaterSonic beteiligt war.
„Dieses revolutionäre System liefert Ergebnisse, die mit professioneller Zahnsteinentfernung, teuren Whitening-Behandlungen und regelmäßigen Hygieneterminen vergleichbar sind – aber mit der Bequemlichkeit der Anwendung zu Hause, ohne Operationsrisiken, ohne aggressive Chemikalien und ohne die Notwendigkeit wiederholter 180-€-Besuche.“
„Klinische Tests mit 200 Teilnehmern im Alter von 25–75 JAHREN BESTÄTIGTEN, dass selbst hartnäckigste Zahnsteinablagerungen, chronischer Mundgeruch und gelbliche Verfärbungen bereits nach 15 Minuten beginnen, sich zu verbessern – und innerhalb von 7–14 Tagen täglicher Anwendung KOMPLETT VERWANDELT sind.“
„Dies stellt einen bedeutenden Fortschritt in der zugänglichen Zahnhygiene dar – eine Lösung, die professionelle Ergebnisse direkt nach Hause liefert. Wir sind stolz darauf, diesen Durchbruch den Menschen zugänglich zu machen, die ihn wirklich brauchen.“
KOMPLETTE ZAHNSTEINENTFERNUNG – SELBST MIT 50, 60 UND DARÜBER HINAUS
KEINE ZAHNARZTBESUCHE, KEINE AGGRESSIVEN CHEMIKALIEN, KEINE TEUREN REINIGUNGEN
Seit miDent WaterSonic für die Öffentlichkeit verfügbar ist, haben Tausende von Menschen ihre lebensverändernden Ergebnisse online geteilt:
Die beispiellose Wirksamkeit von miDent WaterSonic wurde von Dentalhygienikern und zufriedenen Anwendern in ganz Deutschland bestätigt.
Zahnexperten prognostizieren, dass bis Ende 2025 jeder dritte Mensch über 40 auf teure professionelle Reinigungen verzichten wird – zugunsten dieses revolutionären Geräts für die Anwendung zu Hause.
Stellen Sie sich vor, Sie schauen morgen früh in den Spiegel und sehen zum ersten Mal seit Jahren perfekt weiße, glatte Zähne:
→ Hartnäckiger Zahnstein- und Plaqueaufbau VOLLSTÄNDIG ENTFERNT
→ Frischer Atem und Selbstvertrauen im Alltag VOLLSTÄNDIG WIEDERHERGESTELLT
→ Angst vor sozialer Peinlichkeit und Bewertung VERSCHWUNDEN
→ Unabhängigkeit von teuren Zahnarztbesuchen VOLLSTÄNDIG ERREICHT
Stellen Sie sich
vor, Sie lächeln auf Fotos, ohne den Mund dabei zu verdecken.
Stellen Sie sich vor, Sie lachen im Büro, ohne sich Sorgen zu machen, wer
neben Ihnen sitzt. Stellen Sie sich vor, Sie sparen 1.800 €+ pro Jahr an geplanten Zahnbehandlungen, Reinigungen und Prozeduren –
und erzielen BESSERE Ergebnisse, ganz ohne Schmerzen, Peinlichkeit oder Zeitaufwand.
Aufgrund der beispiellosen Nachfrage und der Präzision, die für die Herstellung jedes einzelnen Geräts mit der patentierten AquaCooling™-Technologie nach medizinischen Standards erforderlich ist, kommt es bei miDent WaterSonic regelmäßig zu Lieferengpässen auf den europäischen Märkten.
Das komplexe Wasserkühlungssystem erfordert spezialisierte Komponenten, die nicht überstürzt produziert werden können – jede Einheit durchläuft vor dem Versand eine strenge Qualitätsprüfung.
However, Dr. Sullivan und das miDent-Team haben eine LIMITIERTE FREIGABE ausschließlich für die Leser dieses Artikels autorisiert.
Wenn Sie selbst den hartnäckigsten Zahnstein in nur 15 Minuten entfernen möchten und dieselbe lebensverändernde Transformation erleben wollen wie Ashley und Tausende andere Menschen,
klicken Sie JETZT auf den Link unten.
Der Link führt Sie zur offiziellen miDent-Website, wo Sie sich den authentischen WaterSonic mit AquaCooling™ mit einem EXKLUSIVEN 50%-RABATT sichern können – jedoch nur, solange der Vorrat reicht.
Die tägliche Zuteilung ist normalerweise innerhalb weniger STUNDEN ausverkauft – handeln Sie also sofort, bevor diese Gelegenheit verschwindet.
miDent WaterSonic ist NUR auf der offiziellen Website erhältlich.
Zurzeit bieten sie eine Sonderaktion an:
Neue Kunden erhalten 50 % RABATT + KOSTENLOSEN VERSAND.
Jede Bestellung ist durch ihre eiserne 90-Tage-Geld-zurück-Garantie abgesichert.
Kurz gesagt: Sie werden entweder Ihre Ergebnisse lieben – oder Sie bekommen eine vollständige Rückerstattung, ohne Fragen.
Sie können dieses einzigartige Angebot nur 3 Tage lang nutzen!
NUR ONLINE ERHÄLTLICH
FÜR KURZE ZEIT: 20 % RABATT + SIE ÜBERNEHMEN DEN VERSAND
LIMITIERTE SONDERAKTION NUR FÜR LESER:
Wenn Sie jetzt bestellen, erhalten Sie Anspruch auf 20 % RABATT auf den WaterSonic Ultraschallreiniger.
Nur hier verfügbar. Limitiert auf die ersten 500 Kunden.

Dr. Schillings Bewertung: 4,9 Sterne
Bitte nehmen Sie es mir nicht übel, aber ich habe einen winzigen Bruchteil eines Sterns abgezogen – und hier ist der Grund. Der WaterSonic hat FAST zu gut funktioniert.
Mehrere meiner Beratungspatienten berichteten, dass ihre regulären Zahnärzte überrascht – sogar skeptisch – waren, dass eine Zahnsteinentfernung zu Hause solche professionellen Ergebnisse erzielen kann.
Der Zahnarzt einer Patientin beschuldigte sie zunächst sogar, irgendwo anders eine teure professionelle Reinigung gemacht und es verheimlicht zu haben. Als sie ihm den WaterSonic zeigte, war er so beeindruckt, dass er ihn inzwischen seinen eigenen Patienten empfiehlt.
Ich schätze, das ist der Grund, warum das Team von miDent sagt, dass dieses Gerät von Tausenden zufriedener Kunden in ganz Deutschland vertraut wird.
Schauen Sie sich an, was sie zu sagen haben.














Ein revolutionäres Gerät sorgt für Schlagzeilen, weil es 95 % des Zahnsteinaufbaus in nur 15 Minuten entfernt —
ganz ohne Zahnarztbesuche, schmerzhaftes Scaling oder teure Reinigungen.
Nach 18 Monaten klinischer Forschung und Tests an 200 Teilnehmern mit chronischer Zahnsteinbildung entwickelten Dentalhygieniker schließlich eine Lösung in Profi-Qualität, um jahrelange verkalkte Ablagerungen zu entfernen — alles vereint in einem einzigen revolutionären Gerät für die Anwendung zu Hause.
Klinische Tests zeigen, dass der WaterSonic eine 95%ige Reduktion von Zahnstein erreicht – vergleichbar mit professionellem Scaling —
und die Ergebnisse halten zwischen den Anwendungen monatelang an.
Die meisten Anwender berichten von sichtbar weißer aussehenden Zähnen, der Beseitigung von Mundgeruch und zurückgewonnenem Selbstvertrauen innerhalb von nur 2 Wochen täglicher Anwendung!
Hier sind die lebensverändernden Ergebnisse, die Menschen über 40 erlebt haben:
Individuelle Ergebnisse können variieren
Barbara Meier, München
„Viele Produkte überdecken das Problem nur vorübergehend.
Aber mit dem WaterSonic konnte ich wirklich spüren, wie meine Zähne sauberer wurden.
Es ist so einfach zu benutzen, und schon nach einer einzigen Anwendung –
als ich mit der Zunge über meine Zähne fuhr, fühlte ich zum ersten Mal seit Jahren wieder glatten Zahnschmelz.“
Individuelle Ergebnisse können variieren
Ryan Mitchell, Hamburg
„Ich war anfangs ehrlich gesagt skeptisch.
Ich gehe seit Jahren regelmäßig zur Zahnreinigung, daher erschien mir die Anwendung eines Geräts zu Hause… fast zu einfach.
Aber schon nach wenigen Anwendungen mit dem WaterSonic spürte ich echte Veränderungen.
Kein rauer Zahnstein mehr, kein Mundgeruch mehr — ich habe sogar meinen nächsten Zahnarzttermin zur Reinigung abgesagt!“
Individuelle Ergebnisse können variieren
Jessica Müller, Stuttgart
„Das ist ein ABSOLUTES MUST-HAVE!
Wirklich — ich konnte kaum glauben, wie schnell es funktioniert hat.
Ich habe Tausende Euro für professionelle Reinigungen und Bleaching-Behandlungen ausgegeben — nichts kommt auch nur annähernd an den WaterSonic heran.
Schon eine einzige 15-Minuten-Sitzung und ich habe den Unterschied gespürt.
Und das Beste? Ich kann es jeden Tag zu Hause benutzen!“
Die auf dieser Website bereitgestellten Informationen sind nicht als spezifische medizinische Beratung gedacht und ersetzen keine professionelle Behandlung oder Diagnose. Diese Aussagen wurden nicht von der Food and Drug Administration bewertet. Keines der aufgeführten oder erwähnten Produkte ist dazu bestimmt, Krankheiten zu diagnostizieren, zu behandeln, zu heilen oder zu verhindern.
„Die Ergebnisse in den Testimonials und Darstellungen können untypisch sein und individuelle Ergebnisse können variieren.“
Diese Website ist ein Marketinginstrument. Der Inhaber hat eine materielle finanzielle Verbindung zu dem Anbieter der auf der Website genannten Waren und Dienstleistungen, indem er eine Vergütung für Klicks auf die Anzeige oder für Verkäufe des Produkts erhält.
Die auf der Website dargestellte Geschichte ist fiktiv, sofern nicht anders angegeben. Die in der Geschichte und in den Kommentaren dargestellten Ergebnisse dienen lediglich der Veranschaulichung und entsprechen möglicherweise nicht den Ergebnissen, die Sie bei der Verwendung des Produkts erzielen. Bitte konsultieren Sie für all Ihre Gesundheitsbedürfnisse Ihren Arzt oder eine medizinische Fachkraft.
Die Testimonials auf dieser Website sind Einzelfälle und garantieren nicht, dass Sie die gleichen Ergebnisse erzielen werden.
Jetzt zum reduzierten Preis